Kardiologia
Psy, koty oraz zwierzęta egzotyczne coraz częściej chorują na schorzenia ukł. krążenia. W naszym gabinecie lek. wet. Małgorzata Kozak zajmuje się diagnostyką i leczeniem kardiologicznym.
Oferuję: badania psów i kotów w kierunku wykrywania chorób serca związanych z wiekiem, badania miotów w celu wykluczenia wad wrodzonych, badania serca przed zabiegami chirurgicznymi,
Wieloletnie doświadczenie w połączeniu z najwyższej jakości sprzętom pozwala diagnozować a następnie wdrażać odpowiednie postępowanie, które skutecznie poprawia komfort przewlekle chorym zwierzakom.
W diagnostyce chorób krążenia wykorzystujemy takie badania jak:
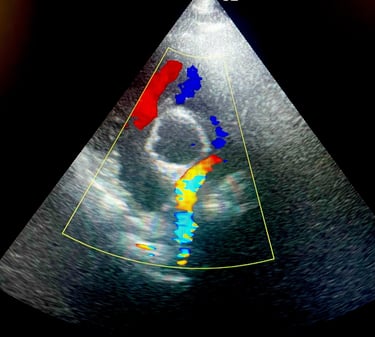
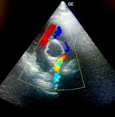
BADANIE ECHOKARDIOGRAFICZNE: badanie serca przy użyciu wysokiej klasy sprzętu ultrasonograficznego, który umożliwia wykrycie wad wrodzonych, chorób zwyrodnieniowych zastawek, powiększenia serca.
BADANIE EKG: pomaga zdiagnozować zaburzenia rytmu serca i wdrożyć odpowiednie leczenie.
POMIAR CIŚNIENIA: konieczne, nie tylko przy chorobach kardiologicznych, ale również u pacjentów z chorobami nerek.
BADANIA KRWI: podstawowe badania biochemiczne oraz badania elektrolitów są konieczne u pacjentów z chorobami krążenia. Oprócz nich istnieją markery chorób sercowych.











